Aspergillosis
A pulmonális Aspergillus-fertőzések száma évről évre növekszik. Ennek hátterében környezeti tényezők és az immunrendszer működésével kapcsolatos változások állhatnak. Különböző laboratóriumi diagnosztikus lehetőségeink és a képalkotó vizsgálatok segítik a diagnózis felállítását. Az alábbi összefoglalóban a leggyakoribb pulmonális Aspergillus-fertőzések jellemzőit, diagnosztikáját és kezelési lehetőségeit tekintjük át.
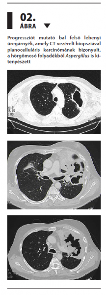
A teljes cikket csak regisztrált felhasználóink olvashatják. Kérjük jelentkezzen be az oldalra vagy regisztráljon!






